导读:1.一家4口确诊!这病很多人一发现就是晚期……2.变异株7例!中疾控最新通报!3.一高中生在泉州走失!已超48小时!家人急疯了……4.此地宣布!明起户外不再要求戴口罩!5.召回!召回!泉州人赶紧自查
1.一家4口确诊!这病很多人一发现就是晚期……一家4人接连发现肺癌
16岁少年和外婆同一天手术
……
近日
深圳大学总医院介绍了
一段不寻常的接诊经历
▼
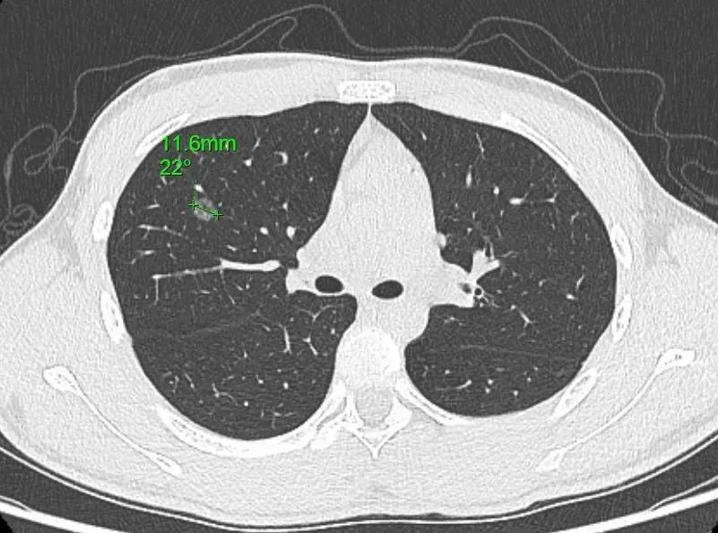
2021年底,14岁中学生小亮(化名)吃错药被送往医院抢救,当天CT检查时,医生意外发现他的右上肺有个磨玻璃结节。就在这几年,
小亮家里好几位亲戚接二连三查出了肺结节,其中就包括小亮的姨妈、外婆、爷爷。
小亮的肺结节位于右上肺前段(1.16cm)。今年1月,父亲带着小亮和小亮外婆前往医院进一步就诊。通过复查胸部CT,胸心外科张晓明主任发现两人的肺结节都有不同程度增大,需尽早手术。小亮和外婆当天就办了入院,并安排在同一天手术,好在两人手术都很成功。
深圳大学总医院胸心外科张晓明主任表示,从医30多年,小亮是他遇到年纪最小的肺癌患者。他提醒,早期肺癌的诊断和治疗一定是“越早越好”,小亮及外婆都是胸部CT检查中发现肺结节,说明每年的定期体检非常有必要,特别是家族中有肺癌病史的更要重视,应坚持定期胸部CT检查。
一直以来肺癌发病率和死亡率在全世界都居恶性肿瘤之首是名副其实的健康“头号杀手”医生发出提醒肺癌多半是“拖”出来的
很多肺癌发现时已是晚期广东省*****胸外科主任医师乔贵宾曾刊文指出,根据经验来看,
70%~80%的患者出现不舒服来医院检查发现时,都已经是肺癌的中期或晚期。
肺癌的症状,主要是由于肿瘤的压迫和侵犯造成的。早期的肺癌基本上没有明显的症状,因为肺部的容积较大,所以压迫症状不明显。待肿瘤长到一定程度,即已经进入中期、晚期的时候才会表现出明显的症状,此时肿瘤压迫了肺、气管等器官,患者才会出现咳嗽、咳痰、胸闷、气短,甚至呼吸困难等临床反应。这就是肺癌一发现就是中晚期的原因。
这几类高危人群要早筛查“揪出”肺癌肺癌难以在早期被发现,及时筛查是发现肺癌的关键。上海市抗癌协会联合复旦大学附属肿瘤医院发布的《居民常见恶性肿瘤筛查和预防推荐》(2022版)建议:对于肺癌高危人群,建议行低剂量螺旋CT筛查。
那么,哪些人是肺癌高危人群呢?《推荐》指出,年龄>40岁,至少合并以下1种或多种危险因素者:
(1)吸烟≥20年包(年包指每天吸烟多少包乘以持续多少年,例如20年包指每天1包持续20年或每天2包持续10年),其中包括戒烟时间不足15年;
(2)被动吸烟;
(3)有职业暴露史(石棉、铍、铀、氡等接触者);
(4)有恶性肿瘤病史(淋巴瘤、头颈部癌症或与吸烟有关的癌症);
(5)有家族史:一级亲属罹患肺癌;
(6)有慢性阻塞性肺疾病或弥漫性肺纤维化病史。
有遗传倾向的癌症也能预防首先,了解自己的家族病史,如果直系亲属中有2~3人患癌,患的还是同一种癌,而且有患癌年龄较年轻的趋势,就要通过基因检测予以排查。
第二,提倡健康生活方式,大概有80%的癌症与环境以及生活习惯有关,所以我们要规避那些不良的生活方式。平常要戒烟限酒、少摄入腌制加工食品等,提倡健康的生活方式。
第三,定时体检,及时筛查,癌症的三级预防中,二级预防是早发现、早治疗。所以定期体检与筛查,尽早发现,及时治疗,才是抗癌的正确打开模式。
如何预防乳腺癌?普通女性一生中,患乳腺癌的风险为1%左右,而BRCA1、BRCA2基因突变携带者的患癌风险为23%~54%。有乳腺癌家族史的人,建议40岁前进行筛查,绝经前以超声为主,绝经后女性以超声加钼靶为主;筛查间隔时间为0.5~1年。
如何预防卵巢癌?约20%~25%上皮性卵巢癌与遗传因素相关。乳腺癌、卵巢癌、结直肠癌等家族史,都可能导致家族中女性成员的卵巢癌风险增加。BRCA突变基因携带者,推荐从30~35岁起开始定期做盆腔检查、血CA125(肿瘤标志物)和经*****超声的联合筛查。
如何预防结直肠癌?家族性结肠息肉易发展成结直肠癌,如果父母患有因上述疾病导致的结直肠癌,其子女患上同类癌症的可能性高达50%。
有结直肠癌家族史的人,建议从40岁甚至更早开始,进行预防性筛查。推荐的方式是结肠镜检查或便潜血检查,便潜血检查最好每年做1~2次;同时要比普通人更重视饮食健康,少吃高盐油腻食物。
如何预防胃癌?在所有胃癌患者中,有明显家族聚集倾向的占10%。胃癌患者亲属比其他人患胃癌的危险性高2~3倍。
40岁以上且是胃癌患者的直系亲属,应尽早并定期做胃镜筛查。
如何预防肺癌?调查显示,肺鳞状细胞癌患者中,35.8%有家族史;肺泡细胞癌的女性患者中,有家族史的为58.3%。预防肺癌的首要一步是戒烟、避免油烟暴露,其次是早期筛查。首选低剂量螺旋CT,这是国际上公认的肺癌筛查金标准。
如何预防胰腺癌?胰腺癌的发病,有家族史者是无家族史者的3~13倍。家族中有1人发病,其他家庭成员患胰腺癌的风险是一般人群的4倍。有家族史者,腹部增强CT和肿瘤标记物(尤其是CA199)的检查不可少;如影像学有异常,要密切随访,必要时加做超声内镜。
来源 | 深圳大学总医院、37度里、长江健康融媒、健康时报
2.变异株7例!中疾控最新通报!2月25日晚,中国疾控中心通报全国新型冠状病毒感染疫情情况。
通报中提及,2022年12月1日至2023年2月23日,共发现本土重点关注变异株22例,其中,1例XBB.1,5例XBB.1.5,4例BQ.1,5例BQ.1.1,1例BQ.1.1.17,4例BQ.1.2和2例BQ.1.8。
与2月18日通报相比,2023年2月17日至2月23日,中疾控新发现本土重点关注变异株7例,为4例XBB.1.5和3例BQ.1。
通报全文如下
↓↓↓
感染监测数据全国报告人群新冠病毒核酸检测结果2022年12月9日以来,各省份报告人群新冠病毒核酸检测阳性数及阳性率呈现先增加后降低趋势,阳性人数12月22日达到高峰(694万)后波动下降,2023年2月23日降至12738;检测阳性率2022年12月25日达高峰(29.2%)后波动下降,2023年2月23日为1.4%(图1-1)。
图1-1 全国报告人群新型冠状病毒核酸检测阳性数及阳性率变化趋势(数据来源于31个省(区、市)及新疆生产建设兵团报告) 全国报告人群新冠病毒抗原检测结果各省份报告新冠病毒抗原检测量呈现波动减少趋势,从2022年12月19日的最高189万波动下降到2023年2月23日的6.8万。新冠病毒抗原检测阳性数及阳性率自2022年12月9日快速上升,12月22日达高峰(33.7万、21.3%)后波动下降,2023年2月23日阳性数降至337(阳性率为0.5%)(图1-2)。 图1-2 全国报告人群新型冠状病毒抗原检测阳性数及阳性率变化趋势(数据来源于31个省(区、市)及新疆生产建设兵团报告) 全国发热门诊(诊室)诊疗情况总体就诊人数结果全国(不含港澳台)发热门诊(诊室)就诊人数于2022年12月23日达到峰值286.7万人次,随后连续下降;2023年1月23日后就诊人数呈现低位波动,2月23日为14.7万人次,较峰值下降了94.9%(图2-1)。 图2-1 全国发热门诊(诊室)诊疗人数变化趋势(数据来源于31个省(区、市)及新疆生产建设兵团报告) 说明:自2022年12月9日起,监测二级以上医疗机构发热门诊诊疗量;12月21日起,增加监测社区卫生服务中心和乡镇卫生院发热诊室诊疗量(不含村卫生室和社区卫生服务站)。 农村发热门诊(诊室)就诊人数结果全国乡镇卫生院发热诊室就诊人数于2022年12月23日达到峰值92.2万人次,随后波动下降;2023年1月23日后呈现低位波动,2023年2月23日为3.3万人次,较峰值下降了96.4%(图2-2)。 图2-2 全国农村地区乡镇卫生院发热门诊(诊室)就诊人数变化趋势(数据来源于31个省(区、市)及新疆生产建设兵团报告) 说明:农村发热患者诊疗量为乡镇卫生院发热诊室诊疗量(不含村卫生室) 城市发热门诊就诊人数结果全国二级以上医疗机构和城市社区卫生服务中心发热门诊(诊室)就诊人数于2022年12月22日达到峰值195.4万人次,随后连续下降;2023年1月23日后呈低位波动,2月23日为11.5万人次,较峰值下降了94.1%(图2-3)。
图2-3 全国城市发热门诊(诊室)就诊人数变化趋势(数据来源于31个省(区、市)及新疆生产建设兵团报告) 说明:城市发热门诊诊疗量含二级以上医疗机构和社区卫生服务中心(不含社区卫生服务站)。 哨点医院监测结果2022年9月至12月上旬,全国流感哨点医院每周流感样病例(体温≥38℃,伴咳嗽或咽痛之一)数量稳定在10万左右,流感样病例占门(急)诊就诊人数比值在2.7%-3.6%区间波动。第50周(12月12日至18日)明显上升至8.5%,第51周达到最高12.1%,第52周起快速下降。2023年第7周(2月13日-19日)流感样病例占比为1.8%(图2-4)。
图2-4 全国哨点医院报告的流感样病例数及占比变化趋势(数据来源于824家哨点医院) 2022年第49周(12月9日),流感样病例新冠病毒阳性率开始逐渐增加,在第51和52周期间达峰值后持续下降,2023年第7周(2月13-19日)新冠病毒阳性率已下降至3.4%。2022年第49周以来,流感病毒阳性率则逐步降低,12月下旬至2月初处于极低水平(低于1.0%);2023年第7周,流感病毒阳性率增加至14.3%(图2-5)。
图2-5 全国哨点医院流感样病例新冠和流感病毒阳性率变化趋势(数据来源于402家网络实验室)
住院诊疗情况在院新冠病毒感染者结果全国在院新冠病毒感染者于2023年1月5日达到峰值162.5万人,随后持续下降;2月23日下降至1.45万人,较峰值减少了99.1%(图3-1)。 图3-1 全国在院新冠病毒感染者每日变化情况(数据来源于31个省(区、市)及新疆生产建设兵团报告) 在院新冠病毒感染阳性重症患者结果全国在院新冠病毒感染者中,重症患者数量于2022年12月27日至2023年1月3日期间每日增量近1万,1月4日增量明显下降,1月5日达到峰值12.8万后持续下降,2月23日下降至8例(其中新冠病毒感染重症0例、基础性疾病重症合并新冠病毒感染8例),较峰值下降了99.9%(图3-2)。 图3-2 全国在院新冠病毒感染阳性重症患者变化情况(数据来源于31个省(区、市)及新疆生产建设兵团报告) 在院新冠病毒感染死亡情况在院新冠病毒感染死亡病例数于2023年1月4日达到每日峰值4273例,随后持续下降,2月23日下降至0例(图3-3)。2月17日至2月23日,31个省(自治区、直辖市)及新疆生产建设兵团医疗机构累计在院新冠病毒感染相关死亡病例7例,其中新冠病毒感染导致呼吸衰竭死亡0例、基础疾病合并新冠病毒感染死亡7例。
图3-3 全国在院新冠病毒感染死亡病例变化情况(数据来源于31个省(区、市)及新疆生产建设兵团报告) 
新冠病毒感染本土病例
病毒变异监测情况
总体情况2022年9月26日至2023年2月23日,全国共报送27315例本土病例新冠病毒基因组有效序列,均为奥密克戎变异株,共存在80个进化分支,主要流行株为BA.5.2.48(53.9%)、BF.7.14(25.2%)和BA.5.2.49(13.4%)。BA.5.2等18种进化分支构成比在0.1%-2.4%之间,59个进化分支的构成比小于0.1%(共占0.7%)(图4-1)。
图4-1 全国新型冠状病毒变异株变化趋势图 说明:1.采样日期:2022年9月26日至2023年2月21日。 2.图中标记的数字分别为BA.5.2.48、BF.7.14和BA.5.2.49进化分支有效基因组序列数量。 3.“其它”指全国范围Omicron变异株构成比小于0.1%的进化分支。 2022年12月以来本土病例病毒变异株监测情况2022年12月1日至2023年2月23日,全国共报送18618例本土病例新冠病毒基因组有效序列,全部为奥密克戎变异株,共存在36个进化分支。主要流行株为BA.5.2.48(60.5%)和BF.7.14(28.9%)(表4-1)。共发现本土重点关注变异株22例,其中,1例XBB.1,5例XBB.1.5,4例BQ.1,5例BQ.1.1,1例BQ.1.1.17,4例BQ.1.2和2例BQ.1.8。
表4-1 全国新冠病毒变异株情况 (2022年12月1日至2023年2月23日)
新冠病毒变异分省份情况总体来看,北京、内蒙古和天津以BF.7及亚分支为优势株;其他省份均以BA.5.2及亚分支为优势株(图4-2)。
图4-2 各省份新冠病毒变异监测情况 说明:1.采样时间:2022年12月1日-2023年2月21日; 2.图中标记的数字分别为BA.5.2.48、BF.7.14和BA.5.2.49进化分支有效基因组序列数量。 3.“其它”指全国范围Omicron变异株构成比小于0.1%的进化分支。
新冠病毒疫苗接种进展截至2023年2月23日,31个省(自治区、直辖市)和新疆生产建设兵团累计完成接种新冠病毒疫苗349232.9万剂次(图5-1)。接种总人数131040.6万人,完成全程接种127692.0万人,完成第一剂次加强免疫接种82732.2万人。全人群第一剂次、全程接种覆盖比例分别达到93.0%和90.6%(图5-2)。60岁以上老年人累计报告接种新冠病毒疫苗67983.5万剂次,接种总人数24168.8万人,完成全程接种23030.9万人,完成第一剂次加强免疫接种19283.2万人。
图5-1 分月新冠病毒疫苗累计接种剂次(数据来源于31个省(区、市)及新疆生产建设兵团报告)
图5-2 分月全人群中第一剂次、全程接种覆盖比例(数据来源于31个省(区、市)及新疆生产建设兵团报告) 以2022年底全国老年人专项摸底调查人口数为基数统计,截至2023年2月23日,60岁以上老年人第一剂次接种覆盖人数占老年人群的96.1%,全程接种、第一剂次加强免疫接种人数分别占符合接种时间间隔老年人群的96.6%、92.4%(图5-3)。
图5-3 基于摸底人口数的60岁以上人群新冠病毒疫苗接种率(数据来源于31个省(区、市)及新疆生产建设兵团报告) 注:1.第一剂次接种率测算中分子为接种目前附条件上市或紧急使用新冠病毒疫苗至少1剂次的老年人群,分母为2022年12月10日各省上报的老年人摸底登记人口数。2.全程接种率测算中分子为接种灭活疫苗2剂次、腺病毒载体疫苗1剂次、重组蛋白疫苗3剂次的老年人群,分母为接种灭活疫苗1剂次、腺病毒载体疫苗1剂次和重组蛋白疫苗2剂次的老年人群,并且接种后间隔满28天(4周)。3.第一剂次加强免疫接种率测算分子为完成第一剂次加强免疫接种老年人群,分母为接种灭活疫苗2剂次、腺病毒载体疫苗1剂次的老年人群,且全程接种后间隔满3个月。(由于重组蛋白疫苗实施加强免疫接种的时间短,接种3剂次重组蛋白疫苗人群目前未包括在分母中)。来源:[font=-apple-system, blinkmacsystemfont, "]中国疾控中心官网、北京日报
3.一高中生在泉州走失!已超48小时!家人急疯了……紧急寻人
一高中生在泉州失联超过48小时
见到他请第一时间联系!
这两天,蔡先生一家焦虑万分,其上高一的儿子在泉州清濛开发区失联超过48小时,监控显示,孩子在一水渠边最后出现后便失去线索。蔡先生来自漳州华安,长期在泉州工作,暂住在泉州清濛开发区华夏家园小区,孩子小学、初中都在泉州就读,今年刚回漳州华安上高一。最近文理科分班,孩子分到新班级和新宿舍后,“情绪比较激动,在哭”,老师给蔡先生打了电话,蔡先生专程回老家把孩子接出来散心。蔡先生说孩子期末考还不错,就是期中考成绩不太理想,为此他还安慰了孩子。“孩子这两天食欲也不太好。”蔡先生说,走失当天蔡先生父亲发现孩子晚饭吃得有点少,“平时吃两碗饭,晚饭才吃一点就说饱了,要到门口转转”。到了晚上接近11点,孩子说要下楼买点东西,蔡先生想让孩子带着他的手机去付款,孩子说要20元现金就可以了。10多分钟后,蔡先生感觉不对劲,下楼寻找,发现孩子并没有去便利店。找了一夜无果,警方帮忙查找公共视频发现,当晚他们寻找时和孩子走了相反的路线。公共视频还显示,孩子于26日曾在凤池路出现,下午3点多在南渠边出现后便失去线索,目前警方还在继续查找。蔡先生希望,一旦有人发现孩子的线索,请帮忙将孩子留住,并第一时间告知或报警。蔡先生联系电话:187597757854.此地宣布!明起户外不再要求戴口罩!据@大湾区之声 ,澳门特区政府新冠病毒感染应变协调中心26日表示,近2个月来澳门疫情持续平稳,参考世界各地防控经验,
27日起调整要求佩戴口罩的措施,在一般情况下,所有在室外地方逗留的人士不要求佩戴口罩。应变协调中心指出,若进入医疗机构、长者和康复院舍的人士(住院病人或居住院舍的服务使用者除外)、公共交通工具(的士除外)的司机和乘客,则仍须继续佩戴口罩;其他室内场所和交通工具,由主管实体根据当时的疫情、场所或交通工具内的空气流通情况、人员数量和密度、活动性质和持续时间等因素,自行评估及决定是否要求进入场所或乘搭该交通工具的人士佩戴口罩;若要求佩戴口罩,应以适当方式公布或通知。
而在一些特定情况下,例如举办大型聚集活动、托儿所和非高等教育机构出现群集感染,或本澳出现流行高峰期时,主办单位或主管实体应要求进入有关场所的人员佩戴口罩;而当个人出现发热、肌痛、咽痛、咳嗽或流涕等流感样症状时亦应佩戴口罩;至于3岁或以下婴幼儿进入任何场所可不必佩戴口罩。
来源 | 大湾区之声
5.召回!召回!泉州人赶紧自查国家市场监督管理总局网站近日发布召回通知,涉宝马、福特猛禽等品牌。
华晨宝马汽车有限公司、宝马(中国)汽车贸易有限公司召回部分国产及进口宝马汽车日前,华晨宝马汽车有限公司、宝马(中国)汽车贸易有限公司根据《缺陷汽车产品召回管理条例》和《缺陷汽车产品召回管理条例实施办法》的要求,向国家市场监督管理总局备案了召回计划,自即日起召回以下车辆。一、召回生产日期从2020年9月26日至2022年12月30日的部分iX3电动汽车,共计37197台;生产日期从2022年4月12日至2022年12月28日的部分国产i3电动汽车,共计18500台;生产日期从2021年11月22日至2022年10月24日的部分i4电动汽车,共计1985台;生产日期从2021年7月27日至2022年10月19日的部分iX电动汽车,共计2929台。 本次召回范围内车辆因高压蓄电池控制单元(SME)微控制器电压监控阈值设定不合理,软件可能误判,导致车辆充电意外中断或高压系统关闭,极端情况下会造成动力中断,存在安全隐患。 华晨宝马汽车有限公司、宝马(中国)汽车贸易有限公司将免费为召回范围内的车辆进行软件编程,以消除安全隐患。 二、召回生产日期为2022年4月14日至2023年1月11日的部分国产i3电动汽车、生产日期为2020年11月26日至2023年1月19日的部分iX3电动汽车,共计33021台。 本次召回范围内车辆的行人保护警示音控制单元的软件信号处理逻辑存在问题,可能导致车辆在低速行驶或者倒车时无法发出外部行人保护警示音,增加行人受伤的风险,存在安全隐患。 华晨宝马汽车有限公司将免费为召回范围内的车辆进行软件编程,以消除安全隐患。三、召回生产日期2022年7月19日至2022年12月15日的部分进口7系汽车,共计763台。 本次召回范围内的车辆由于前排乘客座椅模块控制单元的软件问题,可能无法识别座椅的正确位置,导致前排乘客的安全气囊不可用,存在安全隐患。 宝马(中国)汽车贸易有限公司将免费为召回范围内的车辆进行软件编程,以消除安全隐患。 华晨宝马汽车有限公司、宝马(中国)汽车贸易有限公司将以挂号信、互联驾驶消息等形式,通知相关用户。福特汽车(中国)有限公司召回部分进口全新F-150猛禽汽车日前,福特汽车(中国)有限公司根据《缺陷汽车产品召回管理条例》和《缺陷汽车产品召回管理条例实施办法》的要求,向国家市场监督管理总局备案了召回计划。决定自即日起,召回2022年2月25日至2022年8月16日期间生产的部分进口全新福特F-150猛禽汽车,共计979辆。本次召回范围内部分车辆由于前风挡雨刮电机碳刷架端子焊接异常,或者在某些特定工况下的瞬时大电流造成雨刮电机控制电路板损坏,雨刮器出现突然停止工作、卡滞或工作不稳定,影响驾驶员视线,增加车辆发生碰撞的风险,存在安全隐患。 福特汽车(中国)有限公司将通过授权服务商为召回范围内的车辆检查雨刮电机的零件号,并对问题批次内的雨刮电机进行免费更换,以消除安全隐患。 福特汽车(中国)有限公司将以挂号信等形式,通知相关用户。福特进口车(全新福特猛禽)授权服务商将会主动联系用户,安排免费召回维修。广汽三菱汽车有限公司召回部分欧蓝德汽车日前,广汽三菱汽车有限公司根据《缺陷汽车产品召回管理条例》和《缺陷汽车产品召回管理条例实施办法》的要求,向国家市场监督管理总局备案了召回计划。决定自即日起,召回2021年11月4日至2022年9月29日期间生产的部分欧蓝德汽车,共计1064台。本次召回范围内车辆因车身警灯底座的支撑刚性不足,在颠簸路面行驶时可能发生变形,导致警灯上下跳动、拉钩固定螺栓松动等。极端情况下,拉钩固定螺栓脱出,造成警灯脱落,存在安全隐患。 广汽三菱汽车有限公司将为召回范围内的车辆免费更换改善后的警灯底座和固定拉钩,调整警灯底座支撑位置后重新安装,以消除安全隐患。 广汽三菱汽车有限公司将通过经销商,以挂号信、电话等方式通知相关车主。来源:国家市场监督管理总局网站
