浙江温州的叶女士(化名)结婚多年,一直没能怀上孩子,到医院一查,医生竟说其是个“男的”。全身上下尽显女性特征的“她”,根本无法相信这个事实。11月24日,记者从温州医科大学附属第一医院获悉,该院曾遇到过这样一例罕见的先天性性发育异常疾病。
“她”结婚三年未孕“原因”是个男人日前,叶女士由于婚后未避孕3年多未育,来到温医大附一院生殖医学中心就诊。经过一系列的检查,医生发现其雌激素非常低,而卵泡刺激素(FSH)很高,并且乳腺发育较差。
医生问诊得知,叶女士18岁时,曾去外院检查,腹部B超显示子宫偏小,当时医生建议周期性服用雌孕激素治疗,服药期间有不规律月经来潮。为此,医生建议叶女士查一下外周血染色体,

从身体外表检查,叶女士就是一个女性,细胞内却是完完全全的男性染色体,这到底是怎么回事?
“这是一种较为罕见的先天性性发育异常疾病。虽然性激素分泌正常,但由于雄激素受体(AR)基因发生突变,使得其对雄激素不反应或反应不足,从而导致男性特征完全或部分丧失。这类人群外生殖器表现为女性,其染色体核型为46,XY。雄激素不敏感综合征非常罕见,有家族遗传的可能。”温医大附一院生殖医学中心郑九嘉介绍。
据介绍,该病在胚胎早期,睾丸停止发育,不能正常分泌雄激素和苗勒氏管抑制因子,导致外阴发育成女性,内生殖器官也会发育成女性的子宫和输卵管。而这种发育不全的性腺并没有激素分泌,在青春期之后一般也无乳腺的发育,也不会来月经。表现的是原发性的闭经,但有子宫和*****的发育,进行激素替代治疗后能够正常来月经。叶女士正是因为如此,直到不孕才到医院检查,这才发现自己的染色体显示竟然是男性的性染色体。
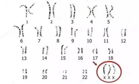
“超男”未必更男人“超女”并非更女人何为性染色体?郑九嘉介绍,人体细胞中有46条染色体,其中有一对是决定性别的染色体,称为性染色体。男性为XY,女性为XX。一旦性染色体出现异常,就会造成各种性染色体相关的遗传疾病。

值得一提的是,如果性染色体数目发生异常,同样会导致一些遗传疾病的出现,例如超雌综合征(47,XXX)和超雄综合征(47,XYY)。也就是所谓的“超女”“超男”。
郑九嘉表示,医院门诊时常会遇到所谓的“超女”“超男”,主要是因为不孕不育来医院就诊。
“‘超男’数量不多,但每一两个月会遇到一两例,大多是因为生育问题前来就诊。”郑九嘉说。
所谓超雄综合征(47,XYY),又称XYY综合征,是男性性染色体多出一条Y染色体。医学上称这类人为“超男”。郑九嘉介绍,这类患者往往身材较为高大,偶尔可见隐睾,睾丸发育不全并有*****形成障碍和生育力下降等。不久前,一名30多岁的男子因为生育问题前来医院就诊,身高一米八、上肢特别长,经检查为超雄综合征。
那么“超女”会是怎样的一个人呢?X染色体多了一条的女性是不是就变得更温柔,更有女人味了呢?
其实不然,超雌综合征(47,XXX)患者看上去与性染色体正常的女性没什么两样,但有一部分患者会出现体矮、肥胖、眼距宽等体征,部分患者还可表现为智力低下,且X染色体数目愈多,智力低下愈严重,还可表现出运动协调问题和听觉处理障碍。该病为女性最常见的X染色体异常疾病,发生率为1/2000。
医生提醒,对于“超男”或“超女”等这类遗传疾病应尽可能做到早期确诊。在青春期之前及时给予激素替代以及辅助心理指导等措施,可明显缓解症状提高患者生活质量。同时建议该类存在遗传风险人群在备孕前尽早做生育力评估,必要的时候做辅助生殖治疗,优选高质量胚胎将大大增加他们孕育健康后代的机会。
来源:温州晚报(ID: iwenzhou)