“我这颗花生米可太‘值钱’了!”来自杭州市的吴先生(化名)打电话跟朋友说起自己的“遭遇”。
夏日里美滋滋的一口冰啤酒,一颗花生米,却差点酿成大祸。近日,杭州天气酷热,52岁的吴先生没啥胃口,这天晚上,他兴冲冲地炒了一盘椒盐花生米,刷着视频喝着小酒,别提多快活。刷到精彩处,忍不住想跟家人分享。
刚要开口说话,就一个闷呛,剧烈干咳了起来。吴先生第二天起来,
右边胸口还是感觉闷闷的,憋得慌。于是在家人陪同下,来到了医院就诊。接诊医师仔细询问病情后,立即给吴先生安排了胸部CT检查,结果提示:右下支气管内可及高密度影,异物考虑。
“您这气管里进东西了!可能需要用气管镜取出来。”医生随即给吴先生安排住院治疗。
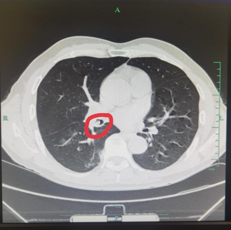
胸部CT:右下支气管开口处可及高密度影 住院后立即给吴先生预约了气管镜检查,没多久,便顺利完成了全麻支气管镜检查。

检查过程中,在镜下右下支气管开口清晰地见到了异物,医生用活检钳及圈套器顺利将其取出。

术后吴先生长舒一口气,当即表示胸口舒服多了。“一边聊天一边吃东西,很容易呛到。临床上我们经常会遇到类似的情况。”医生说,俗话说的“食不言寝不语”还是很有道理的。医生提醒大家,
成人气管支气管异物虽然相较于儿童较为少见,但发生率也不低。随着年龄的增加,人咳嗽反射的敏感度会下降,像吴先生这样,虽然气管里进了异物,却没有非常剧烈的咳嗽,很容易被忽视。而气道异物的类型、滞留时间、位置以及是否存在合并症,支气管镜异物取出的难易程度是大相径庭的,这直接关联到预后。
特别是老人进食时要注意力集中,进食速度宜慢,特别是食物不宜过大过硬,如花生、豆子、肉块、年糕、果冻等。

一旦发现有气管异物造成呛咳,可以先尝试用力咳嗽,一般体积小,质地稀软的都能自行咳出。遇到气道内呛入异物窒息、憋闷感严重者,千万不能慌,可予“海姆立克法”自救,并及时就医评估。
[font="]声明:[font="]因无法联系到作者本人,请本文所用作品的著作权人直接与小编联系,商洽稿费支付事宜。
[font="]