晋江小鱼网
晋江
[切换城市]
厦门
漳州
泉州
福州
晋江小鱼
社区
搜索
找帖子、推荐、人或商户...
登录
注册
蓝色天空
水墨江南
黑色旋风
绿意盎然
紫色梦幻
书签
▼
晋江文学教育
『 广告专区 』
磁灶论坛
『 浪漫视频 』
『幼儿宝宝教育』
『2019年中秋博饼专区』
首页
社区
我的空间
小鱼卡
商家联盟
房产
汽车
关注我们:
生活
百姓说事
风情历史
便民问事
情感酒廊
消费
时尚伊人
婚庆婚嫁
保健养生
家居家电
宝宝教育
美食吃喝
优惠
购物促销
奖品赠送
服务大厅
小鱼卡
服务
房屋房产
求职招聘
网友自拍
二手市场
车友天地
聚会活动
隐藏
快速浏览
晋江信息窗口
『晋江百姓说事』
『晋江求职招聘』
『 美食吃喝 』
『晋江便民问事』
『晋江新手报道』
『晋江聚会活动』
晋江生活情感
『 网友自拍秀 』
晋江便民百姓生活二手信息市场
『晋江二手市场』
『晋江电脑配件』
『晋江网上商城』
『晋江数码通讯』
『晋江房屋房产』
『晋江居家家电』
『晋江车辆交通』
『晋江便民查询』
『晋江奖品赠送』
『晋江购物促销』
『股票基金理财』
『晋江爱心公益』
晋江文学教育
『幼儿宝宝教育』
『晋江教育培训』
休闲娱乐
『 家有爱宠 』
『 车友天地 』
『 广告专区 』
论坛管理
『 服务大厅 』
『 版主交流 』
[切换到宽版]
最新帖子
精华区
晋江便民论坛
>
『晋江百姓说事』
>
“咔嚓”一声!厦门16岁男生手臂 ..
2988
阅读
0
回复
上一主题
下一主题
新 帖
便民策划
离线
级别: 超级版主
会员卡
00000010号
UID
130090
精华
30
发帖
24429
金钱
33526 RMB
魅力
1206 点
贡献值
653 点
交易币
0
好评度
73 点
群组
晋江白领精英群
在线时间
71878(时)
每日签到
未签到
注册时间
2009-08-11
最后登录
2024-11-06
倒序阅读
只看楼主
小
中
大
0
发表于: 2022-05-31
更多操作
▼
复制链接
浏览器收藏
打印
RSS订阅
[百姓闲谈]
“咔嚓”一声!厦门16岁男生手臂断了!这项游戏并不适合所有人
掰手腕
一种比拼臂力和腕力的游戏
不少人,特别是男生
在读书那会儿都玩过
不过,玩时如果用力过度或不当
就有可能发生严重的后果:
骨折
课间掰手腕过猛
男生右肱骨骨折
近日,16岁的高一男生小强
因与同学在课间掰手腕
导致右肱骨下段螺旋性骨折
上周五的上午,第三节的下课铃刚响起,湖里区一所中学高一某班的教室瞬间热闹起来。班级后排的四五名男生凑在一起,准备开始一场被称为“男人间较量”的掰手腕比赛。
短暂的课间10分钟已经容不得热身舒展筋骨,外号“大将军”的小斌喊着“谁敢来战”,另一边相对内向的小强则被伙伴们推了出来。
为了不在大伙面前丢脸
细胳膊细腿的小强
憋红着脸使出了最大力气
相持了十几秒后
突然“咔嚓”一声脆响
小强的右手无法动弹
当场奇痛难忍
在现场男生为“大将军”欢呼时,小强喊疼的声音却越来越大,他们才意识到不对,赶紧叫来了老师和校医,校医发现小强的胳膊骨折了,立即将小强送到医院。
术后需休养至少3个月
学业肯定会受到影响
厦门市中医院骨伤科
主治医师唐聪给小强申请了影像检查
检查结果显示
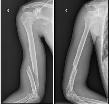
他的右肱骨下段螺旋性骨折
骨头错位明显
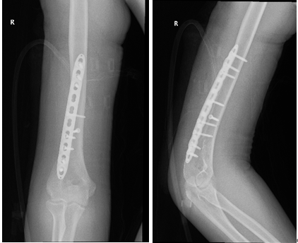
X光可见小强的右肱骨下段出现骨折。
在完善术前准备后,厦门市中医院骨伤科何发胜主任、刘胜主任及唐聪医师团队为小强做了
骨折切开复位钢板螺钉固定手术。小强手术后需休养康复至少3个月,学业肯定得受影响了。
小强术后的X光片,可以看见用于固定的钢板。
医生提醒:
肱骨髁较脆弱易骨折
掰手腕作为一项
对时间和场地要求
看似不高的竞技运动
一直深受初高中男生喜爱
但这项运动有一定的危险性
其实并不适合未经训练的人参与
唐聪说,掰手腕除了需要手部腕部肌肉的力量外,肱二头肌、前臂屈指肌、肱三头肌、肱桡肌均会被带动。
如果不小心,可能会造成手臂、肩部等处肌肉的扭伤。
何发胜介绍
掰手腕造成骨折的情况并不少见
造成肱骨下段骨折为多数
每年医院都能接到十余例
基本是男生
他强调,人的上臂就是一根典型的长骨,叫肱骨,在肱骨靠近肘关节上方3厘米-4厘米,有一个圆柱形和不规则扁平骨的结合点,像一个“焊接点”。这个“焊接点”骨质少,比较脆弱,在医学上叫作肱骨髁。
掰手腕时,肱骨髁承受的是一种折的力量,医学上称为剪切力。肱骨髁承受剪切力的能力很弱,如果掰手腕时,使力的方向和姿势不对,很容易造成骨折。
同时在肱骨干的桡神经走行与肱骨关系密切,
肱骨中下段骨折时极易损伤桡神经。如果神经损伤则更为严重,可导致支配区域的手腕部感觉麻木和活动障碍。
骨折和神经损伤多需要手术切开复位,并用钢板螺钉固定。
那么,问题来了
以后还能掰手腕吗?
哪些人一定要注意?
赶紧来一起了解下
这三种人掰手腕一定要注意
唐聪说
骨骼正在发育的未成年人、
存在骨囊肿等病变的人、
骨密度低或者骨质疏松的人群
如果掰手腕,需做好热身活动
在掰手腕的过程中不要用力过猛
慢慢地持续发力,逐渐加大力量
不要突然旋转身体增加力量
否则容易造成骨折
正确的姿势和方法你会吗?
再次强调!
掰手腕前
一定要做好肌肉的放松和必要的热身
❶ 首先手臂要摆正
核心要收紧沉肩
❷ 手腕要放在中立位
不要太前或者太后
(手臂一歪容易造成手腕的受伤)
❸ 发力时收紧核心
整个手臂用力扳
很多时候
受伤不一定是力气小
更多是用力不当导致的
玩这种游戏还是要
量力而为
毕竟受伤了真的得不偿失!
来源:厦门日报
本帖最近评分记录:
隐藏评分记录
清空我的评分动态
共
条评分
论坛是交流的场所,只有主贴而没有回帖,人与人之间也就没有了交流,而失去了交流的论坛,也就变得如同死水一坛!
回帖是一种友谊,一种情意,一种欣赏,一种善良;
回帖也是一种信任,一种关怀,一种热心,一种享受;
回帖更是一种共享,一种共振!
回帖是网络最美丽的行为!
有时一篇好的回贴,可以让你回味一生!
回复
引用
举报
顶端
上一主题
下一主题
晋江便民论坛
»
『晋江百姓说事』
http://bbs.jj.xmfish.com
访问内容超出本站范围,不能确定是否安全
继续访问
取消访问
描述
快速回复
限 150 字节
进入高级模式
加粗
字体颜色
背景颜色
插入链接
图片
提 交
回复后跳转到最后一页
上一个
下一个